top of page
La Parodontite
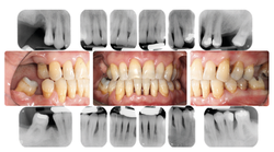
Sondaggio parodontale
Status Parodontale
IL Laser nella Parodontologia
Percorsi Parodontali
  • LinkedIn Icona sociale
  • Instagram
  • Facebook
  • YouTube

©2020 di Centro Medico Galliera S.r.l.. 
P.Iva e Cod. Fiscale 03620341200
Direttore Sanitario Dott. Marco Quarantini

bottom of page